Warning: file_get_contents(https://api.facebook.com/restserver.php?method=links.getStats&urls=http://www.theerayut.com/index.php/ปัญหาผิวหนัง/27-โรคผื่นกุหลาบ-pityriasis-rosea): failed to open stream: HTTP request failed! HTTP/1.1 400 Bad Request in /home/theerayut/domains/theerayut.com/public_html/plugins/content/al_facebook_comments/al_facebook_comments.php on line 516
โรคผื่นกุหลาบ (Pityriasis rosea)
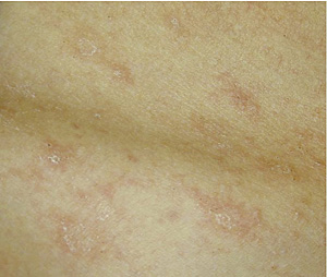
ช่วงนี้สังเกตว่า มีคนไข้มาด้วยผื่น เป็นจุดๆ หรือปื้นเล็ก ขนาดประมาณ 1-2 ซม.กระจายตัวในบริเวณร่มผ้า ในตำแหน่งเหมือนคนใส้เสื้อแขนสั้น กางเกงขาสั้น คือต่ำกว่า เข่า หรือศอก พบผื่นได้น้อย ผื่นจะกระจุกตัวอยู่บริเวณซอกคอ รอบรักแร้ และขาหนีบมากหน่อย ลักษณะผื่นเป็นรูปรี วางตัวตามแนวย่นของผิวหนัง
ถ้าผื่นมีจำนวนมากพอ สังเกตที่แผ่นหลังจะเรียงตัวคล้ายต้นสน หรือที่ฝรั่งเรียก christmas tree pattern ถ้าดูในรายละเอียดของผื่น บางครั้งจะพบว่า จะมีผื่นอันแรกขึ้นมาก่อน มีลักษณะใหญ่กว่าอันอื่นๆ คือประมาณ 3-5 ซม. เรียกว่า ผื่นแม่ หรือ Herald patch แล้วหลังจากนั้น จึงมีผื่นเล็กๆ หรือผื่นลูกตามมา เมื่อผ่านไประยะหนึ่งผื่นจะมีสะเก็ด ซึ่งมีลักษณะที่อยู่”ใน”ผื่น หันขอบเข้าด้านใน ด้วย
โรคที่ว่านี้คือ โรคผื่นกุหลาบ (Pityriasis rosea) เป็นผื่นผิวหนังอักเสบชนิดหนึ่ง ที่ไม่ทราบสาเหตุ
แต่ก็มีการสันนิษฐานว่า อาจจะเกี่ยวกับไวรัสบางชนิดหรือไม่ เพราะมักพบว่า เป็นโรคนี้กันในช่วงหน้าฝน หรือหน้าฝนต่อหน้าหนาว ซึ่งมักเป็นช่วงที่พบการระบาดของโรคที่เกิดจากการติดเชื้อไวรัสได้บ่อย ประกอบกับ คนไข้บางคนก็ให้ประวัติว่า มีอาการนำ เช่นไข้รุมๆ ครั่นเนื้อตัว นำมาก่อนด้วย อีกทั้งยังมีการพบอุบัติการของการตรวจพบ human herpes virus type 6, 7 ในเลือดของผู้ป่วยได้บ่อยกว่าทั่วไปด้วย อย่างไรก็ตาม ปัจจุบันยังถือว่า เป็นโรคที่ไม่ทราบสาเหตุ
ส่วนใหญ่มักพบในช่วงวัยหนุ่มสาว เป็นโรคที่หายได้เอง ไม่ทิ้งรอยแผลเป็น มีโอกาสกลับเป็นซ้ำได้อีกประมาณ 10% ที่สำคัญคือระยะเวลาของโรคอาจจะกินเวลานานถึง 2-3 เดือน โดยเฉลี่ยอยู่ที่ประมาณ 4-6 สัปดาห์ การรักษาจะช่วยลดจำนวนผื่นลง แต่ระยะเวลาที่เป็นอาจลดลงไม่มาก อย่างน้อยๆ มักเป็นอยู่ 2-3 สัปดาห์ อาการคัน ก็อาจะมีได้เล็กน้อยจนถึงมาก
